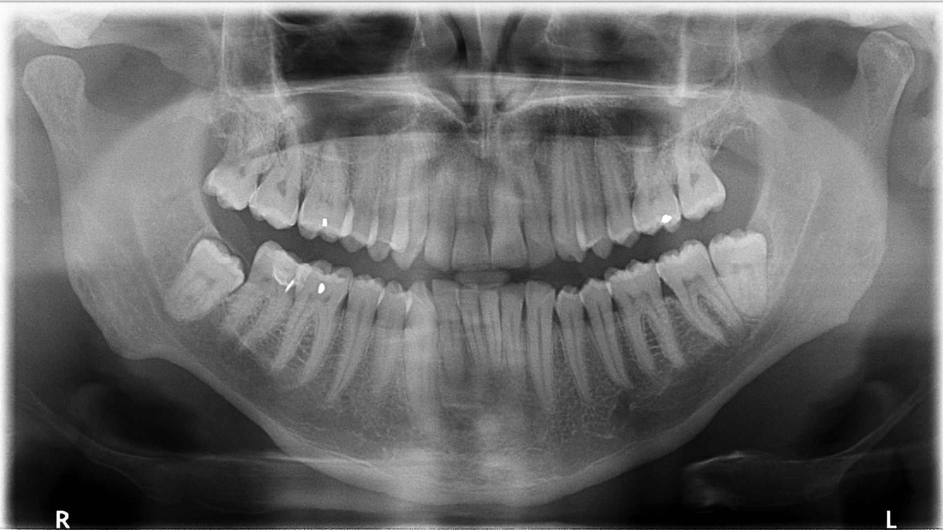
Clear, Comprehensive Imaging With Panoramic Digital Radiographs
At Kitchener Street Dental, we use an Intraoral Camera to give you a detailed, real-time view inside your mouth. This small, pen-sized device captures high-resolution images from even the hardest-to-see areas, making your dental check-ups more informative and transparent.
The images are displayed instantly on-screen, allowing both you and your dentist to see exactly what’s happening—tooth by tooth together.
Why Choose Panoramic Digital X-Rays?
- Low radiation—safer than traditional imaging (up to 80% less)
 - Fast, comfortable, and non-invasive
 - No chemical processing
 - Captures the entire mouth in one image
 - Helps detect impacted teeth, jaw issues, infections, and more
 - Better patient understanding—you can view the image with us during your visit
 
Whether you're having your wisdom teeth assessed, preparing for orthodontics, or needing a thorough check-up, panoramic radiographs help us provide clearer insights and more precise care.
See What We See With the Intraoral Camera
At Kitchener Street Dental, we use an Intraoral Camera to give you a detailed, real-time view inside your mouth. This small, pen-sized device captures high-resolution images from even the hardest-to-see areas, making your dental check-ups more informative and transparent.
The images are displayed instantly on-screen, allowing both you and your dentist to see exactly what’s happening—tooth by tooth together.
When Might We Use the Intraoral Camera?
We may use this advanced tool to help detect and monitor:
- Cracks or chips in teeth
 - Cavities or early signs of decay
 - Gum inflammation or bleeding
 - Worn fillings or dental work
 - Plaque and tartar buildup
 - Oral lesions or abnormalities
 
This tool is especially helpful in showing areas that are difficult to explain or see with mirrors alone, making it easier to discuss your oral health and treatment options with confidence.
A Closer Look at Your Smile’s Hidden Trouble Spots With Bitewing X-Rays
Bitewing X-rays are quick and safe images that help us check for problems between the teeth and under the gums—places we can’t see just by looking. They're an important part of regular check-ups for both kids and adults, helping us catch early signs of decay or changes between the teeth and just below the gumline, before they become bigger issues. They are great to monitor those high risk areas, existing fillings and restorations. At Kitchener Street Dental, we use bitewing X-rays to keep the whole family's smiles healthy and strong.
Call us on 
07 4638 5111 to book a family check-up today and keep your smiles on track!
For clear and accurate dental imaging, contact Kitchener Street Dental on 07 4638 5111 to book your appointment.





